超声心动图十大基本功4.2:舒张功能正常人群的超声特点
2021-02-05 来源:动态图库网

超声心动图十大基本功4.2:舒张功能正常人群的超声特点
超声心动图十大基本功5.6:如何解读超声报告?
原创超声心动图十大基本功8.1:超声心动图评估瓣膜返流的常用方法
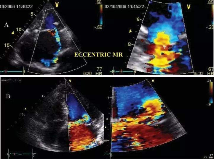
超声心动图十大基本功8.2:二尖瓣关闭不全的超声评估
超声心动图十大基本功5.6:如何解读超声报告?
神经超声图像特点 (第1页)
超声心动图十大基本功6.2:常用评价右心室结构的超声心动图切面
超声心动图十大基本功6.2:常用评价右心室结构的超声心动图切面