经胸超声心动图通过左心房参数评估房颤患者左房淤血状态(4)
2021-02-05 来源:动态图库网

【知,所以跑】如何看懂心电图和超声心动图
一例83岁高龄房颤患者进行左心耳封堵术,避免了经食管超声检查的痛苦
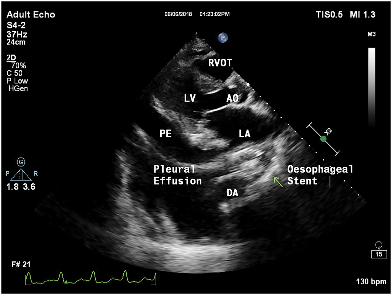
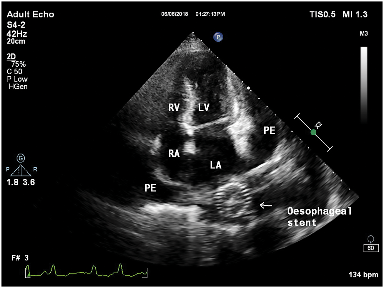
经胸超声心动图检查显示,左心房后有金属阴影,即食管支架(图2,图3)
除全面体检外,还应进行心电图,x线胸片,心肌酶,超声心动图,动态心电图
经胸超声心动图检查显示,左心房后有金属阴影,即食管支架(图2,图3)
holter心电图提示频发房早,短阵房速,阵发房颤及房扑发作 超声心动
某患者左室长轴切面超声心动图如图所示,诊断为()