心电图特征,冠脉造影以及经食道超声心动图(tee)的特点(2)
2021-12-24 来源:动态图库网

经食道超声心动图检查在儿童和成人先天性心脏病中的应用指南:美国
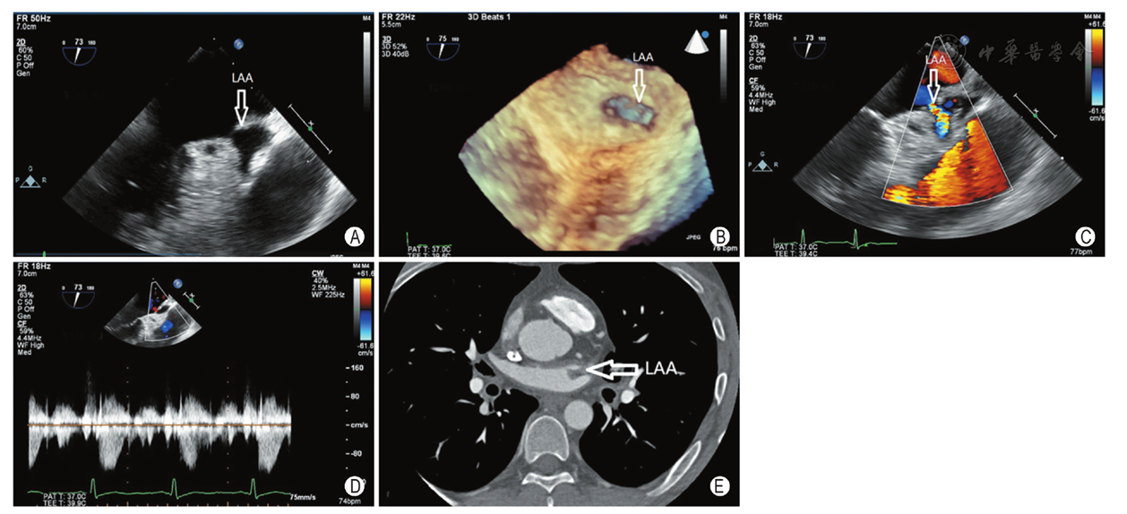
经食管超声心动图诊断孤立性左心耳开口狭窄2例
学习tee必备 | 术中及介入超声心动图:经食管影像图谱
食道超声在心血管麻醉中的应用ppt
患者超声心动图提示患者合并二尖瓣退行性病变,于p1以及交界区脱垂,在
食道超声在心血管麻醉中的应用ppt
麻醉剂过敏;严重心率失常(如室性心动过速,心室纤颤等):食管出血或
指南与共识围手术期经食管超声心动图监测操作的专家共识一
经食管超声心动图
经食管超声心动图引导经心尖修复重度二尖瓣关闭不全一例
心脏介入医生应该掌握的超声心动图知识
指南与共识围手术期经食管超声心动图监测操作的专家共识一
指南与共识围手术期经食管超声心动图监测操作的专家共识一
经食管超声心动图在非心脏手术中应用专家共识 (2020版)|超声心动图