心动周期gif
2022-02-12 来源:动态图库网

10张图读懂心律失常
心电图:指的是心脏在每个心动周期中,由起搏点,心房,心室相继兴奋
【世界心脏日】大咖讲科普(三):心脏得了风湿怎么办?
心率(heart rate):用来描述心动周期的专业术语,是指正常人安静状态
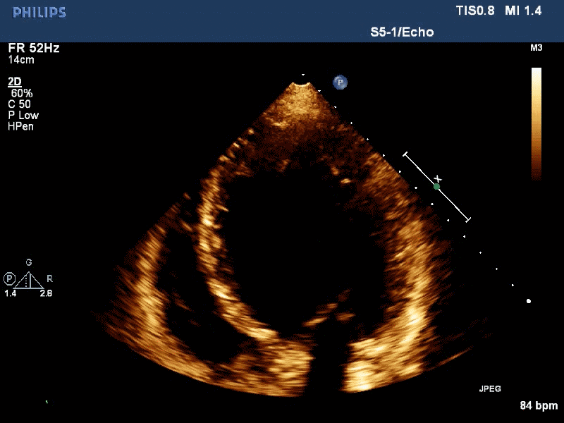
左束支传导阻滞患者的室壁运动比较复杂,我们对图6这个完整的心动周期
心电图提示早搏频繁发作(连续出现两个早搏且每个心动周期都存在).
可以突破传统心率限制,在任意心率和心律条件下,一个心动周期内完成
每秒>100次的不可压navier-stokes方程求解能力 最后再次重播心动周期

心电图(ecg)即利用心电图机从体表记录心脏每一心动周期所产生电活动
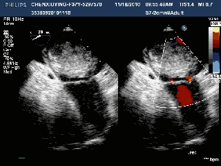
视频 显示左房内瘤体随心动周期的活动
左心房巨大粘液瘤,随心动周期往返于二尖瓣口 三
食管癌右室及肺动脉多处转移 左心房巨大粘液瘤,随心动周期往返于
图 2 cw 示动脉导管未闭分流频谱,呈连续性,占据整个心动周期 肺动脉
每组瓣膜均由二至三个瓣叶组成,具有单向阀门作用,随心动周期交替开放
也别让爱意,落入左手牵右手的平常 为这一天注入仪式感,延长心动周期
血液流变 生物传感,助力keyadd心脉通生理监测应用keyadd