乳牙脱落图片有根吗(2)
2022-02-22 来源:动态图库网

有些牙齿是引起颌骨骨髓炎或上颌窦炎的病灶牙,拔除后有利于这些疾病
【文良口腔】乳牙迟迟不掉
第一颗乳牙脱落
第一颗乳牙脱落
宝宝乳牙被筷子戳了,没注意,现在恒呀出来了因为乳牙没及时拔掉,所以
第一颗乳牙脱落
前天,我突然想起女儿的第二颗乳牙晃动了,扒开看看里面又长了个小牙
儿童牙齿健康知心话之~乳牙都没有牙根吗?
牙齿科材料 有根标准乳牙模型 牙齿模型 离体牙模型 单色离体牙
冠为远中牙冠及根前移创造了脱位空间,充分利用了牙齿暴露的有限空间
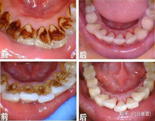
牙医总让你洗牙,到底是为啥?
【有图慎入!】24岁掉牙了:乳牙滞留
寓意能长一口整齐漂亮的恒牙;当然也有父母将孩子的乳牙保存起来作为
正常牙根的图片