假牙满口(2)
2022-02-25 来源:动态图库网

牙已经坏成这样子了 怎么办 我才十六岁啊 不想带假牙
义齿(假牙)的分类
您想 装何种假牙
30岁时被牙医忽悠做了全口假牙,可这口烤瓷牙害了我一生.
2,全口活动假牙(传统和吸附性)——主要是针对满口无牙或大部分牙齿
戴假牙的八项注意
年纪轻轻,满口假牙
一个无聊而认真的研究:如何肉眼识别明星的假牙?
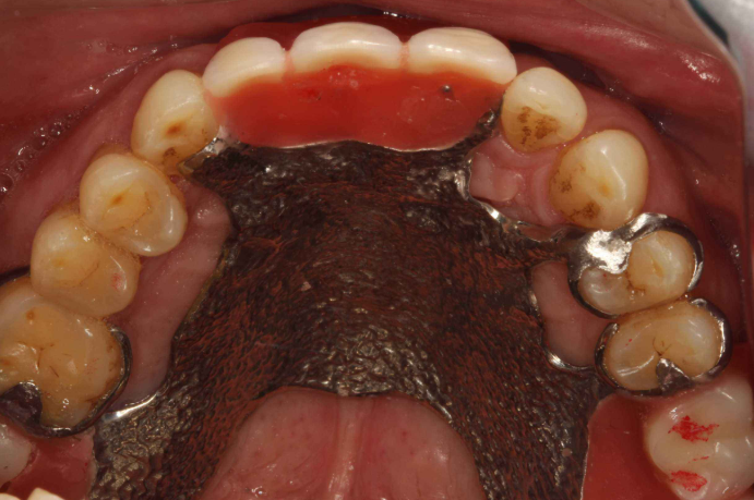
发一例全口义齿修复病例
过渡性治疗义齿在疑难全口义齿修复前的临床应用初探
88岁老太花毕生积蓄,植了满口的假牙!
杨舍镇假牙戴的越多,是不是价格就越贵
满口坏牙,吃饭吃不动,需要从"根"上解决难题
原来戴假牙睡觉会有这些危害