疟原虫图片血涂片
2022-03-02 来源:动态图库网

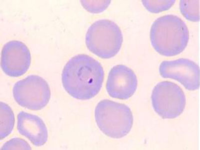
疟原虫环状体(如蓝圈)
疟原虫
血细胞分析仪测定及读片分析疟原虫感染
外周血涂片中的各种疟原虫.ppt
疟原虫血液表现
疟原虫? "虐" 原虫!
厚血膜疟原虫形态
这是包含寄生虫恶性疟原虫的microgametocyte血涂片的
【雁塔卫健】规范疟原虫检测 助力疟疾消除 写美篇 "血涂片镜
箭头所指为疟原虫(薄血涂片,瑞士染色,×1000).由援塞医疗队供图
血涂片表示红细胞恶性疟原虫环的显微照片.图片
卵形疟原虫
间日疟原虫(薄血片)
疟疾感染多数竟然是复发!
血涂片该显微含有寄生虫疟原虫的microgametocyte.
厚血膜疟原虫形态