肺部动态图(2)
2022-03-29 来源:动态图库网

改善肺部功能
深圳1岁娃家中溺水进icu,"凶器"竟然是它!
杭州19楼 杭州消息 早知道 社会 帖子 肺部内窥镜记录下的影像片段.
心脏把血压缩到肺部,以结合氧气.输送氧气的血返回心脏,然后流遍全身.
吸烟时90%的焦油会附着肺部,诱发肺癌!一根充沛焚烧的烟可让室内pm2.
蕉城广播电视台主播科普时间
触目惊心,看看15年和30年烟龄者的肺(动态图)!你还吸烟吗?
用这方法更有效!但可别踩这5大坑
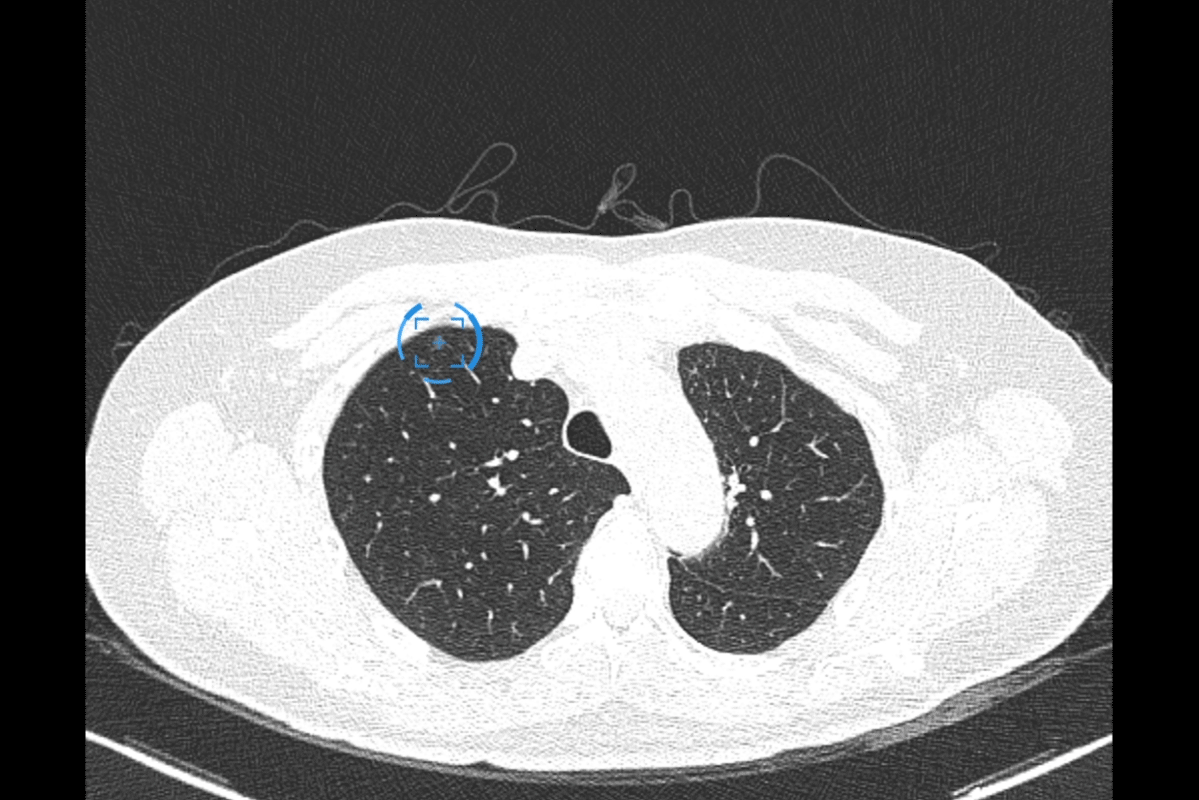
率大国,肺癌早筛是降低死亡率的重要手段,早期肺癌多表现为肺部结节
巨大胸腺癌成功切除
例如人体在在吸气时肺部会充满空气把隔膜往下压;禽类由于有气囊可以
"全球影像"肺部ct阅片操作指南
【朝闻必读】12.3
吸烟者的肺部与健康肺的区别.艾玛啊.