21张高清动图!揭秘急性心肌梗死介入手术
2022-04-06 来源:动态图库网

揭秘急性心肌梗死介入手术~_手机搜狐网
" 医生介绍道,心肌坏死不可再生,而心脏的衰竭也很容易引起多器官衰竭
微新闻 | 厉害了!这位85后医生领衔研发app,实现手机模拟心脏介入手术
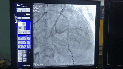
(图为介入手术影像)
25岁男子突发心肌梗死,小榄人民医院全力抢救,视频直击生死营救全程!
动图演示颅内动脉瘤介入栓塞治疗全过程
镇江一小伙突发心肌梗死,医生发现是这些生活习惯害了他
冠状动脉介入手术(pci)
接下来置入支架(图17和图18),高压后扩(图19),手术最后的结果满意(图
耿宝玉:复苏成功后的ami介入治疗1例
冠状动脉介入手术(pci)
全球首例:谷歌眼镜协助完成心脏介入手术
揭秘急性心肌梗死介入手术
21张高清动图!揭秘急性心肌梗死介入手术
二病区主任 主任医师 专业特长:对高血压病,冠心病心绞痛,心肌梗塞
冠状动脉介入手术pci