动态图库网
首页 > GIF动态图

围术期3d经食管超声心动图图谱 病例与视频 9787543338319 殷伟贤,熊(3)

2023-07-29 来源:动态图库网

经食管超声心动图是一项较为成熟及实用的检查技术,能够为临床及

经食管超声心动图是一项较为成熟及实用的检查技术,能够为临床及

通过病例一起来学习食管影像解剖和非肿瘤性病变

通过病例一起来学习食管影像解剖和非肿瘤性病变

超声人员工作中据悉,经食道超声心动图是一种将探头置于食管内,从心脏

超声人员工作中据悉,经食道超声心动图是一种将探头置于食管内,从心脏

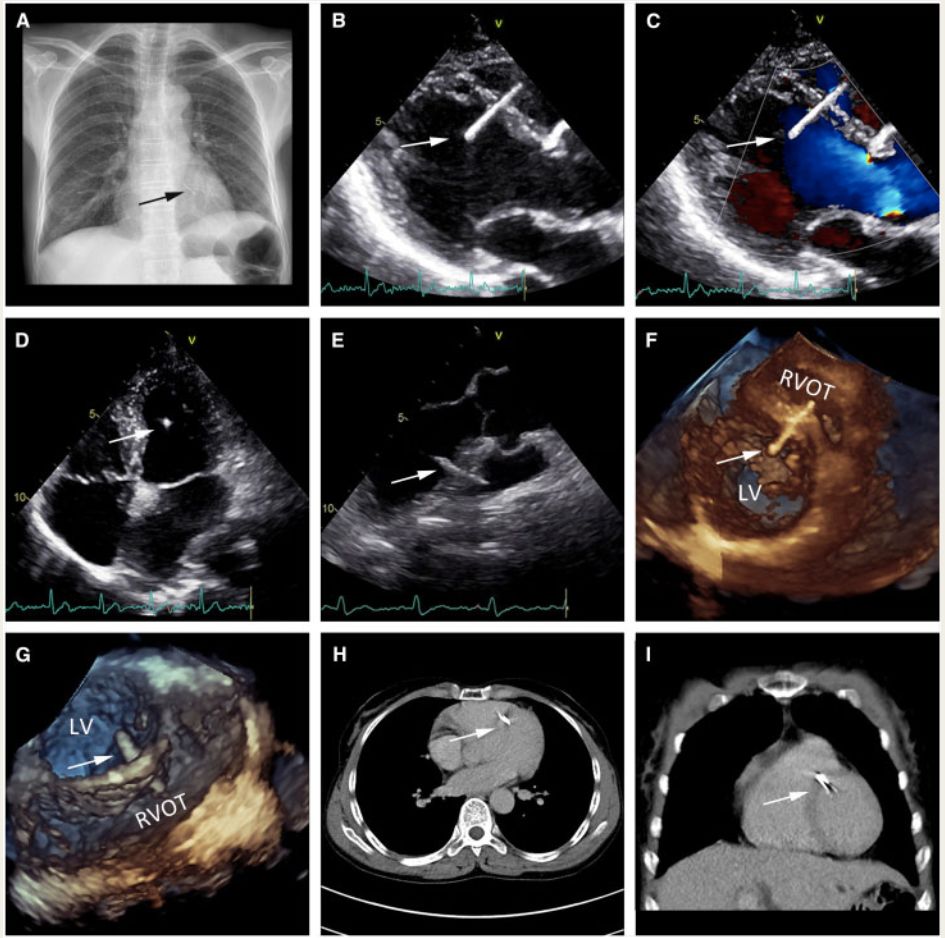
一个不寻常的病例:心脏上的绣花针

一个不寻常的病例:心脏上的绣花针

食管癌病例分析ppt

食管癌病例分析ppt