动态图库网
首页 > GIF动态图

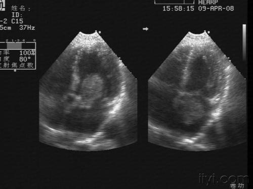
典型的黏液瘤及部分非黏液性良性肿瘤病例经超声心动图检查就可以确诊

2023-07-29 来源:动态图库网

典型病例 --左房粘液瘤 - 超声医学讨论版 - 爱爱医医学论坛 - 爱爱医

典型病例 --左房粘液瘤 - 超声医学讨论版 - 爱爱医医学论坛 - 爱爱医

心房粘液瘤(超声心动图)

心房粘液瘤(超声心动图)

超声心动图见舒张期二尖瓣水平前后叶间一团块状回声 e:彩色多普勒瘤

超声心动图见舒张期二尖瓣水平前后叶间一团块状回声 e:彩色多普勒瘤

心脏粘液瘤一例 - 超声医学讨论版 - 爱爱医医学论坛

心脏粘液瘤一例 - 超声医学讨论版 - 爱爱医医学论坛

超声心动图显示的巨大肿物,从心房突入心室

超声心动图显示的巨大肿物,从心房突入心室

卵巢黏液性囊腺瘤,内可见多发纤细的分隔.

卵巢黏液性囊腺瘤,内可见多发纤细的分隔.