动态图库网
首页 > GIF动态图

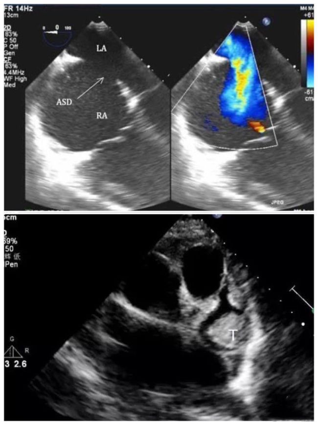
心脏超声检查的新视窗 | 云县人民医院开展经食道超声心动图检查_患者(4)

2023-07-29 来源:动态图库网

精准诊疗再踏层峰 新矿莱芜中心医院成功开展无痛经食管心脏超声检查

精准诊疗再踏层峰 新矿莱芜中心医院成功开展无痛经食管心脏超声检查

心脏超声检查的新视窗 ——信阳市中心医院开展经食管超声心动图检查

心脏超声检查的新视窗 ——信阳市中心医院开展经食管超声心动图检查

心脏超声检查的新视窗——信阳市中心医院开展经食管超声心动图检查

心脏超声检查的新视窗——信阳市中心医院开展经食管超声心动图检查

卡-温暖不停止 | 最新消息(备1) | 天主教耕莘医疗财团法人耕莘医院

卡-温暖不停止 | 最新消息(备1) | 天主教耕莘医疗财团法人耕莘医院

为心脏手术打开新视窗

为心脏手术打开新视窗