动态图库网
首页 > GIF动态图

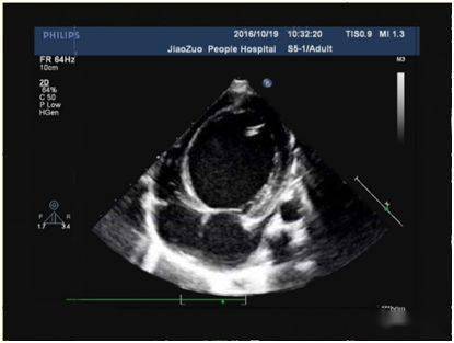
多普勒超声心动图测量婴幼儿心内膜弹力纤维增生症(efe)患者的心脏房

2023-07-29 来源:动态图库网

多普勒超声心动图测量婴幼儿心内膜弹力纤维增生症(efe)患者的心脏房

多普勒超声心动图测量婴幼儿心内膜弹力纤维增生症(efe)患者的心脏房

心肌病超声系列:心内膜胶原弹力纤维增生症

心肌病超声系列:心内膜胶原弹力纤维增生症

心内膜弹力纤维增生症?病例分享

心内膜弹力纤维增生症?病例分享

心肌病超声系列:心内膜胶原弹力纤维增生症

心肌病超声系列:心内膜胶原弹力纤维增生症

心内膜胶原弹力纤维增生症 (endocardial fibroelastosis,efe) 是指心

心内膜胶原弹力纤维增生症 (endocardial fibroelastosis,efe) 是指心

心内膜胶原弹力纤维增生症 (endocardial fibroelastosis,efe) 是指心

心内膜胶原弹力纤维增生症 (endocardial fibroelastosis,efe) 是指心