多普勒超声心动图测量婴幼儿心内膜弹力纤维增生症(efe)患者的心脏房(2)
2023-07-29 来源:动态图库网

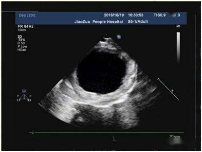
心内膜胶原弹力纤维增生症 (endocardial fibroelastosis,efe) 是指心
心内膜弹力纤维增生症
心内膜胶原弹力纤维增生症 (endocardial fibroelastosis,efe) 是指心
心内膜胶原弹力纤维增生症 (endocardial fibroelastosis,efe) 是指心
图2‐1‐194 组织多普勒成像正常人二尖瓣环水平组织频谱多普勒,em>am