动态图库网
首页 > GIF动态图

文档下载 所有分类 it/计算机 > 超声心动图诊断先天伞状二尖瓣畸形

2023-07-29 来源:动态图库网

文档下载 所有分类 it/计算机 ></p></a> 超声心动图诊断先天伞状二尖瓣畸形

文档下载 所有分类 it/计算机 > 超声心动图诊断先天伞状二尖瓣畸形

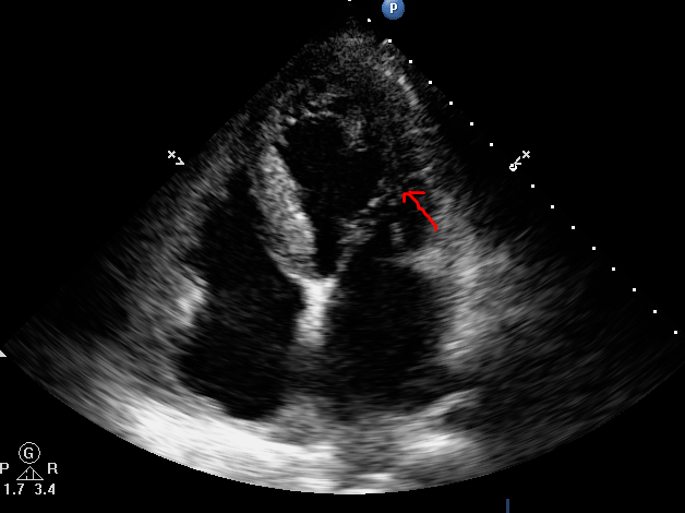
曾经误以为的降落伞样二尖瓣

曾经误以为的降落伞样二尖瓣

二尖瓣狭窄的超声心动图诊断以及典型病例分享

二尖瓣狭窄的超声心动图诊断以及典型病例分享

文档下载 所有分类 ></p></a> 二尖瓣畸形的超声心动图诊断及评估(附23例分析)

文档下载 所有分类 > 二尖瓣畸形的超声心动图诊断及评估(附23例分析)

曾经误以为的"降落伞样二尖瓣"

曾经误以为的"降落伞样二尖瓣"

降落伞型二尖瓣先天性心脏病超声

降落伞型二尖瓣先天性心脏病超声