动态图库网
首页 > GIF动态图

文档下载 所有分类 it/计算机 > 超声心动图诊断先天伞状二尖瓣畸形(5)

2023-07-29 来源:动态图库网

无忧文档 所有分类 医药卫生 临床医学 心内科教学-三尖瓣和肺动脉瓣

无忧文档 所有分类 医药卫生 临床医学 心内科教学-三尖瓣和肺动脉瓣

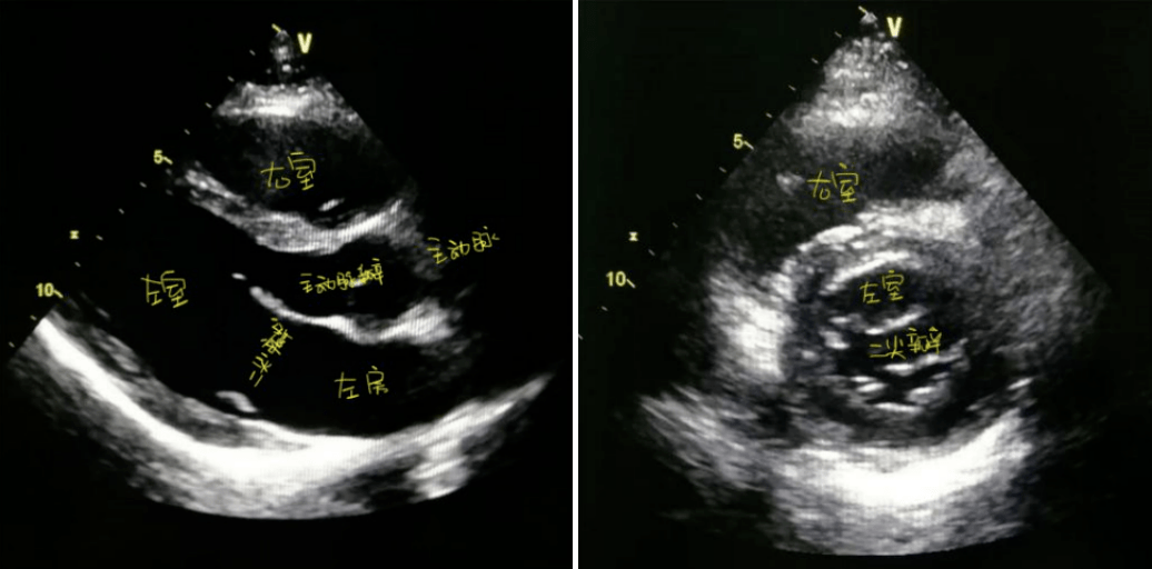
rv:右室;la:左房;m:二尖瓣;a:主动脉瓣(1)二尖瓣观察有无钙化,畸形

rv:右室;la:左房;m:二尖瓣;a:主动脉瓣(1)二尖瓣观察有无钙化,畸形

二尖瓣:正常瓣口面积 4~6 cm05.

二尖瓣:正常瓣口面积 4~6 cm05.

二尖瓣|瓣膜|主动脉_网易订阅

二尖瓣|瓣膜|主动脉_网易订阅

文档下载 所有分类 it/计算机 ></p></a> 超声心动描记术诊断完全性肺静脉异位

文档下载 所有分类 it/计算机 > 超声心动描记术诊断完全性肺静脉异位