动态图库网
首页 > GIF动态图

文档下载 所有分类 it/计算机 > 二维超声心动图诊断房间隔瘤合并室(4)

2023-07-29 来源:动态图库网

直接观察到asc 穿过房间隔卵圆孔可直接诊断 pfo.

直接观察到asc 穿过房间隔卵圆孔可直接诊断 pfo.

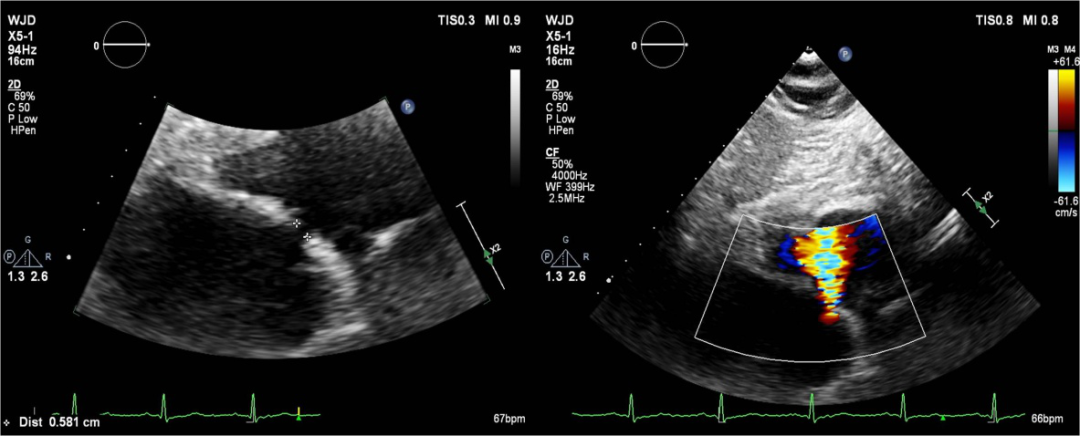
图解:超声心动图提示,术后通过所造房间隔瘘口,房水平可见左向右分流.

图解:超声心动图提示,术后通过所造房间隔瘘口,房水平可见左向右分流.

文档下载 所有分类 ></p></a> 房间隔缺损封堵术后心功能的经胸超声评价目的

文档下载 所有分类 > 房间隔缺损封堵术后心功能的经胸超声评价目的

室流无忧文档 所有分类 医药卫生 基础医学 心脏解剖及正常超声心动图

室流无忧文档 所有分类 医药卫生 基础医学 心脏解剖及正常超声心动图

p1位置患者仰卧位麻醉后,王焱教授团队在经食道超声心动图和dsa引导下

p1位置患者仰卧位麻醉后,王焱教授团队在经食道超声心动图和dsa引导下