动态图库网
首页 > GIF动态图

文档下载 所有分类 it/计算机 > 二维超声心动图诊断房间隔瘤合并室(6)

2023-07-29 来源:动态图库网

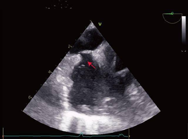
2.2二尖瓣水平ivs:室间隔 ias:房间隔.

2.2二尖瓣水平ivs:室间隔 ias:房间隔.

食管中段切面:左房,左室内大量气泡床旁行腹部超声及经食道超声心动图

食管中段切面:左房,左室内大量气泡床旁行腹部超声及经食道超声心动图

影像技术优化:ice在laac术中的应用Ⅰ,指导房间隔穿刺Ⅱ,确认左心耳没

影像技术优化:ice在laac术中的应用Ⅰ,指导房间隔穿刺Ⅱ,确认左心耳没

超声心动图和dsa引导下,经股静脉入路,在距二尖瓣环40mm处穿刺房间隔

超声心动图和dsa引导下,经股静脉入路,在距二尖瓣环40mm处穿刺房间隔